完全予約制
044-844-5590


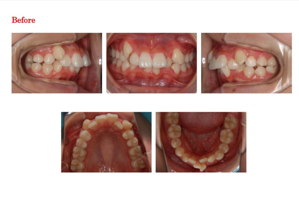
●主訴:前歯が出ている。犬歯が外側にある。口元が出ている。
●年齢・性別:17歳(女性)
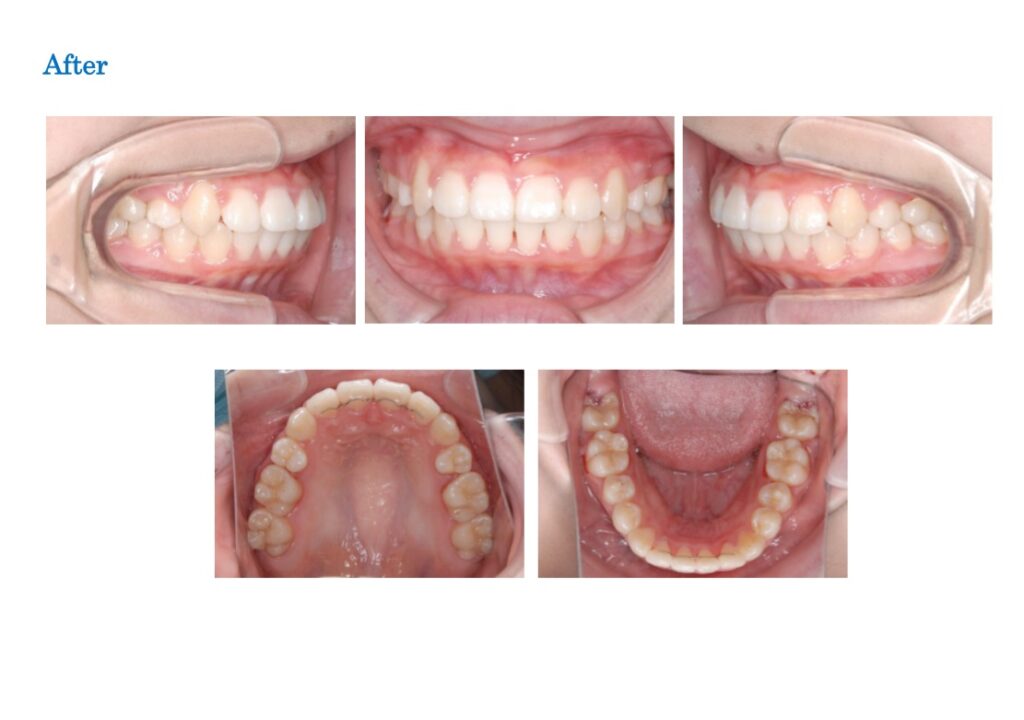
●治療期間:2年1ヶ月
●来院回数:27回
●治療費用(自由診療):1,045,000円(税込/調整費込み/トータル・フィーシステム)
●診断:叢生を伴う上顎前突
●抜歯部位:上顎左右第一小臼歯抜歯 本格治療(2本抜歯)
●治療方法:上顎左右第一小臼歯を抜歯し、表側マルチブラケット装置と、上下顎固定式拡大装置を用いて治療しました。舌習癖があるので、MFT(筋機能訓練)を同時に行っています。
●リスク・副作用:歯の移動による不快感・痛み、歯根吸収、虫歯、歯肉退縮、歯髄壊死、後戻り等
投稿日:2025年08月19日
投稿者:神保矯正歯科
神奈川県川崎市高津区久本3-2-22 1F
TEL 044-844-5590
東急田園都市線 「溝の口駅」、JR南武線「武蔵溝ノ口駅」から徒歩3分
駐車場:あり(医院前1台)または、医院前の「持田駐車場」をご利用ください。駐車券をご持参で1時間無料チケットを差し上げます(1世帯に各月1枚のみとさせていただきます)
月・火・水:10:30-13:00/14:30-19:00
金:10:30-13:00/14:30-18:00
土・日(月1日):10:00-13:00/14:00-17:00
※隔週火曜日または金曜日休診あり
※昼休み中(13:00-14:30/土日13:00-14:00)はお電話に出られません。ご了承ください。
Copyright © 2018 溝の口駅の舌側矯正なら神保矯正歯科 All Rights Reserved.