完全予約制
044-844-5590


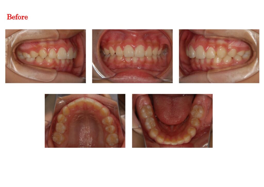
●主訴:前歯のかみ合わせが深い、歯の数が足りない。
●年齢・性別:12歳(男性)
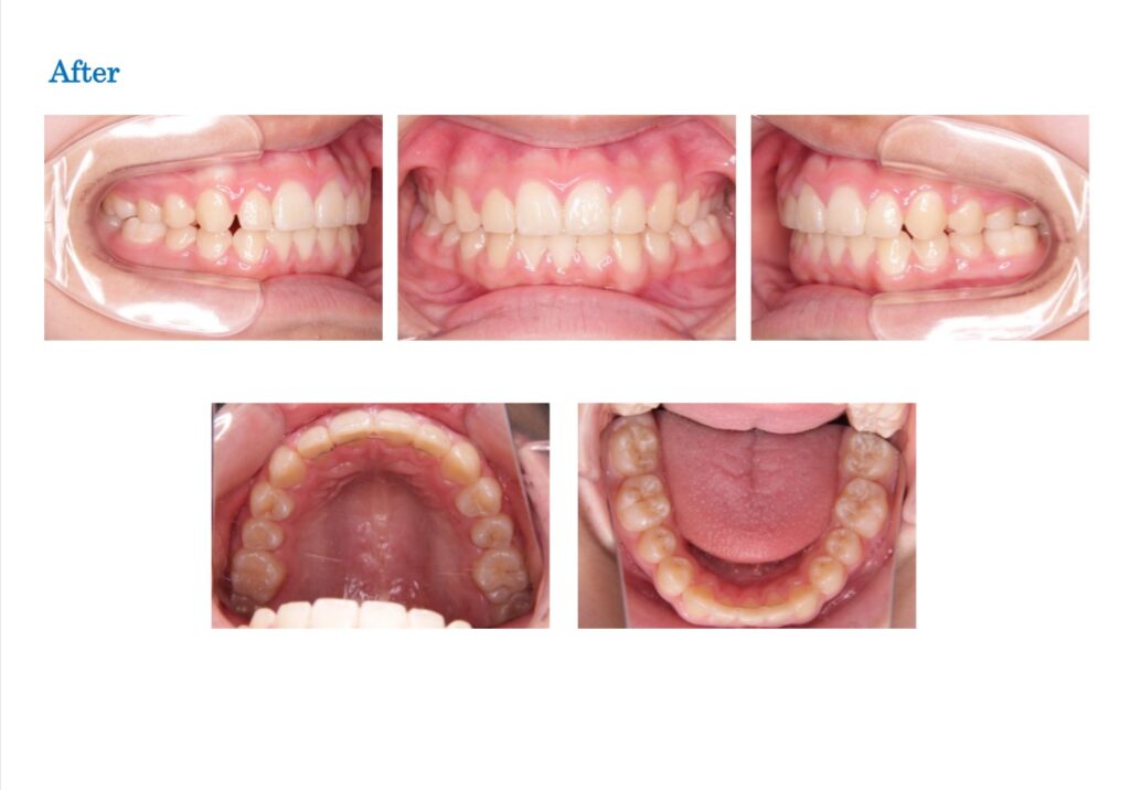
●治療期間:2年
●来院回数:24回
●治療費用(自由診療):1,144,000円(税込/調整費込み/トータル・フィーシステム)
●診断:下顎右側側切歯の先天性欠如を伴う過蓋咬合
●抜歯部位:非抜歯本格治療
●治療方法:表側マルチブラケット装置と、上顎固定式拡大装置を用いて治療しました。下顎の正中は下顎左側中切歯の中央で仕上げています。舌習癖があるので、MFT(筋機能訓練)を同時に行っています。
●リスク・副作用:歯の移動による不快感・痛み、歯根吸収、虫歯、歯肉退縮、歯髄壊死、後戻り等
投稿日:2026年02月21日
投稿者:神保矯正歯科
神奈川県川崎市高津区久本3-2-22 1F
TEL 044-844-5590
東急田園都市線 「溝の口駅」、JR南武線「武蔵溝ノ口駅」から徒歩3分
駐車場:あり(医院前1台)または、医院前の「持田駐車場」をご利用ください。駐車券をご持参で1時間無料チケットを差し上げます(1世帯に各月1枚のみとさせていただきます)
月・火・水:10:30-13:00/14:30-19:00
金:10:30-13:00/14:30-18:00
土・日(月1日):10:00-13:00/14:00-17:00
※隔週火曜日または金曜日休診あり
※昼休み中(13:00-14:30/土日13:00-14:00)はお電話に出られません。ご了承ください。
Copyright © 2018 溝の口駅の舌側矯正なら神保矯正歯科 All Rights Reserved.