川崎市 溝の口駅 | 神保矯正歯科

神保矯正歯科 Jinbo Orthodontic Office

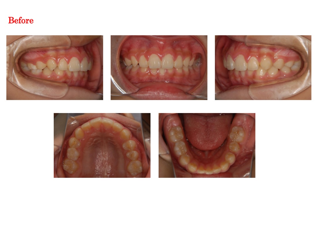
1


投稿日:2025年12月29日

投稿者:神保矯正歯科

神保矯正歯科 アクセスMAP

神保矯正歯科

神奈川県川崎市高津区久本3-2-22 1F

TEL 044-844-5590

アクセス

東急田園都市線 「溝の口駅」、JR南武線「武蔵溝ノ口駅」から徒歩3分

駐車場:あり(医院前1台)または、医院前の「持田駐車場」をご利用ください。駐車券をご持参で1時間無料チケットを差し上げます(1世帯に各月1枚のみとさせていただきます)

診療時間

月・火・水:10:30-13:00/14:30-19:00
金:10:30-13:00/14:30-18:00
土・日(月1日):10:00-13:00/14:00-17:00
※隔週火曜日または金曜日休診あり
※昼休み中(13:00-14:30/土日13:00-14:00)はお電話に出られません。ご了承ください。