完全予約制
044-844-5590
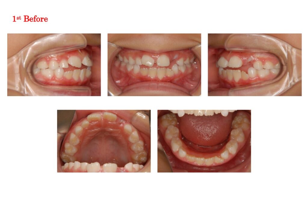
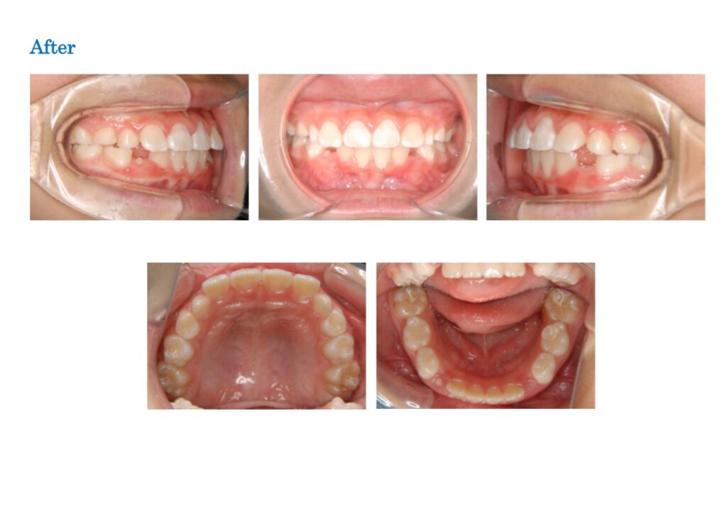
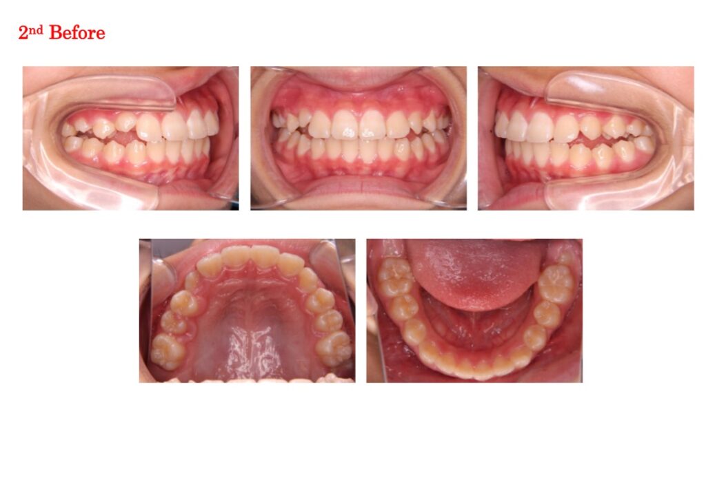
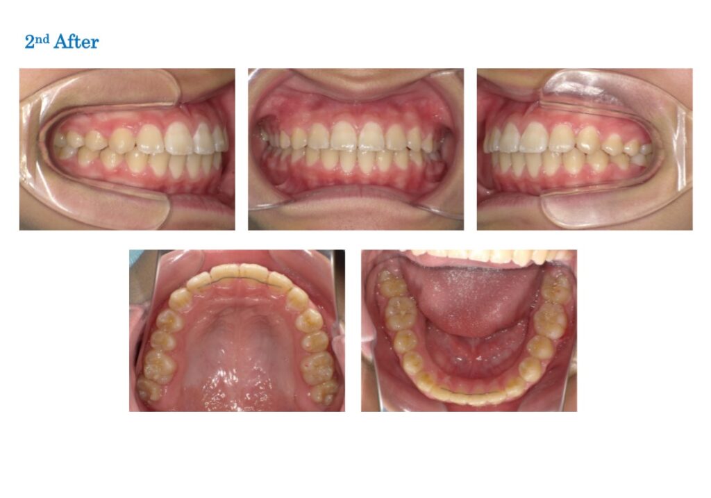
低学年から第一期治療(1st)を開始し、数年間の定期検診期間を経て、その後第二期治療(2nd)を行った患者様です。
【第一期治療】


●主訴:前歯が大きい。上の歯と下の前歯があたらない。
●年齢・性別:8歳(男性)
●治療期間:2年3ヶ月
●来院回数:28回
●治療費用(自由診療):451,000円(税込/調整費別)
●診断:叢生を伴う開咬
●抜歯部位:非抜歯治療
●治療方法:第一期治療。上下前歯に表側マルチブラケット装置と上顎固定式拡大装置を用いて拡大と前歯のみ治療しました。
【第二期治療】
定期検診を終了して第二期治療を開始しました。


●主訴:全体的に咬めるようになりたい。凸凹がある。
●年齢・性別:13歳(男性)
●治療期間:2年1ヶ月
●来院回数:26回
●治療費用(自由診療):594,000円(税込/調整費込み/トータル・フィーシステム)
●診断:叢生を伴う開咬
●抜歯部位:非抜歯本格治療
●治療方法:第二期治療。上下顎に表側マルチブラケット装置を用いて治療しました。舌習癖があるため、MFT(筋機能訓練)を同時に行いました。
●リスク・副作用:歯の移動による不快感・痛み、歯根吸収、虫歯、歯肉退縮、歯髄壊死、後戻り等
投稿日:2026年03月08日
投稿者:神保矯正歯科
神奈川県川崎市高津区久本3-2-22 1F
TEL 044-844-5590
東急田園都市線 「溝の口駅」、JR南武線「武蔵溝ノ口駅」から徒歩3分
駐車場:あり(医院前1台)または、医院前の「持田駐車場」をご利用ください。駐車券をご持参で1時間無料チケットを差し上げます(1世帯に各月1枚のみとさせていただきます)
月・火・水:10:30-13:00/14:30-19:00
金:10:30-13:00/14:30-18:00
土・日(月1日):10:00-13:00/14:00-17:00
※隔週火曜日または金曜日休診あり
※昼休み中(13:00-14:30/土日13:00-14:00)はお電話に出られません。ご了承ください。
Copyright © 2018 溝の口駅の舌側矯正なら神保矯正歯科 All Rights Reserved.